Alimentary System
Small Intestine
Narrative
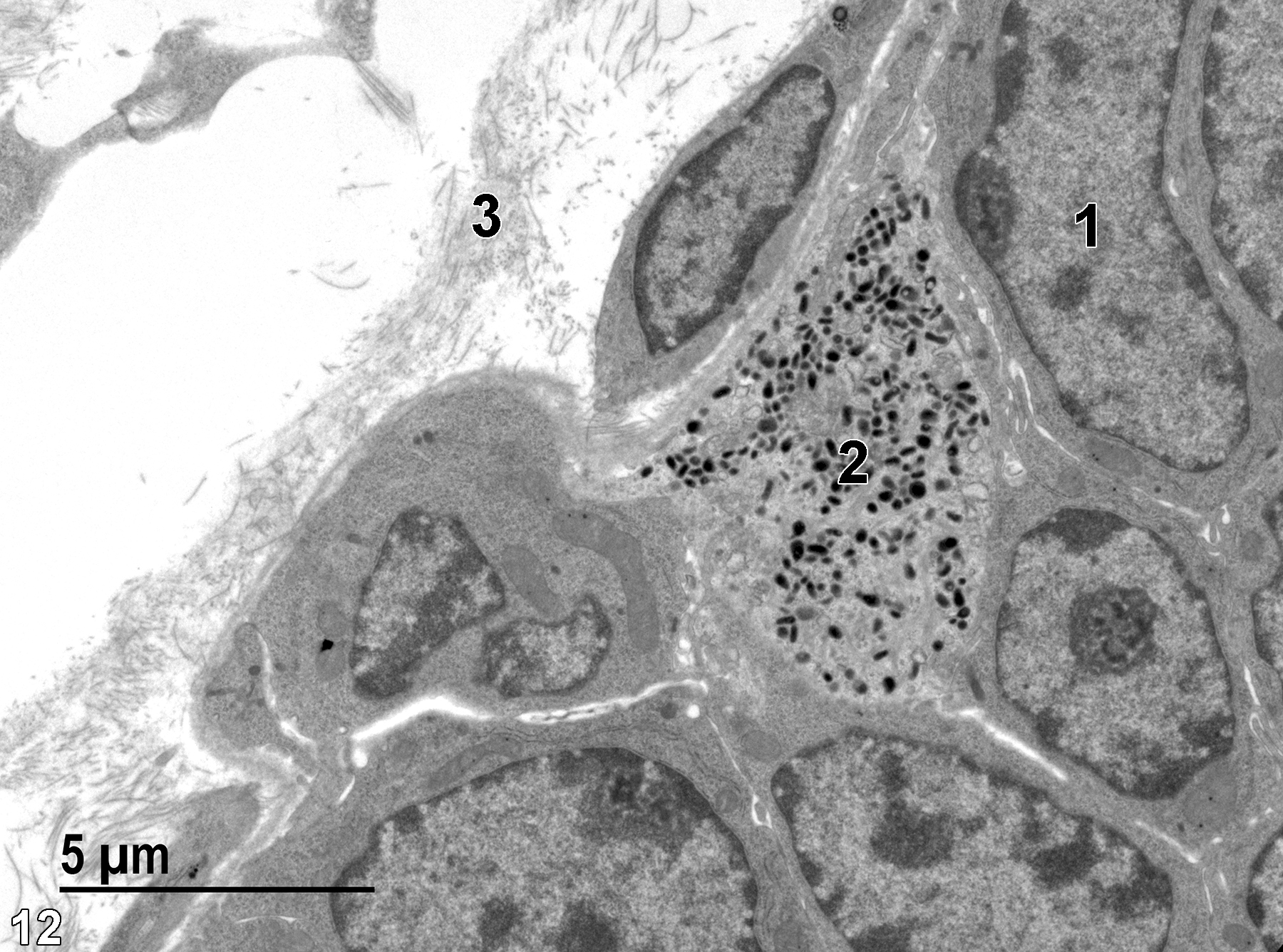
The small intestine is comprised of the duodenum, the jejunum, and the ileum. The surface is covered with absorptive villi. The villi have absorptive columnar epithelial cells (enterocytes) with microvilli, mucous (goblet) cells, and enteroendocrine cells with membrane-bound electron dense granules. At the base of villi are Peyer’s patches composed of lymphoid tissue. Beneath the epithelium is a lamina propria composed of connective tissue with lymphatic and blood capillaries. A thin smooth muscle layer (muscularis mucosae) separates the lamina propria from the underlying submucosa, which is comprised of nerve fibers, loose connective tissue, and blood vessels. The submucosa is subtended by the tunica muscularis. The outermost layer of the intestines is the serosal (tunica adventitia) tissue, that is a mesothelium consisting of squamous epithelial cells.
The duodenum is attached to the glandular stomach and contains broad or irregular folds or ridges and has the largest villi of the small intestine. The villi are broad and tongue shaped. The jejunum is the next segment and has shorter villi that are conical or rounded. The final segment of the small intestine, the ileum, has club-like villi.
Duodenum
Jejunum
Ileum
| Boorman GA, Eustis SL, Elwell MR, Montgomery CA, Jr., MacKenzie WF, eds. 1990. Pathology of the Fischer Rat: Reference and Atlas. New York: Academic Press. | 
| Cross PC, Mercer KL. 1993. Cell and Tissue Ultrastructure: A Functional Perspective. New York: W.H. Freeman and Company. | 
| Dellmann HD, Eurell J, eds. 1998. Textbook of Veterinary Histology. 5th ed. Philadelphia: Lippincott Williams & Wilkins. | 
| Rhodin JAG. 1974. Histology: A Text and Atlas. New York: Oxford University Press. | 
| Ross MH, Kaye GI, Pawlina W. 2003. Histology: A Text and Atlas. 4th ed. Philadelphia: Lippincott Williams & Wilkins. | 
| Uehara T, Elmore SA, K.A. Szabo KA. 2017. Chapter 6: Esophagus and stomach. In Boorman’s Pathology of the Rat (Suttie AW, ed). 2nd ed. London: Academic Press, 35-50. | 
| Weiss L, ed. 1988. Cell and Tissue Biology: A Textbook of Histology. 6th ed. Baltimore: Urban & Schwarzenberg. | 
All Images
 
                
                 
                
                 
                
                 
                
                 
                
                 
                
                 
                
                 
                
                 
                
                 
                
                 
                
                 
                
                
 













