Reproductive System, Female
Vagina
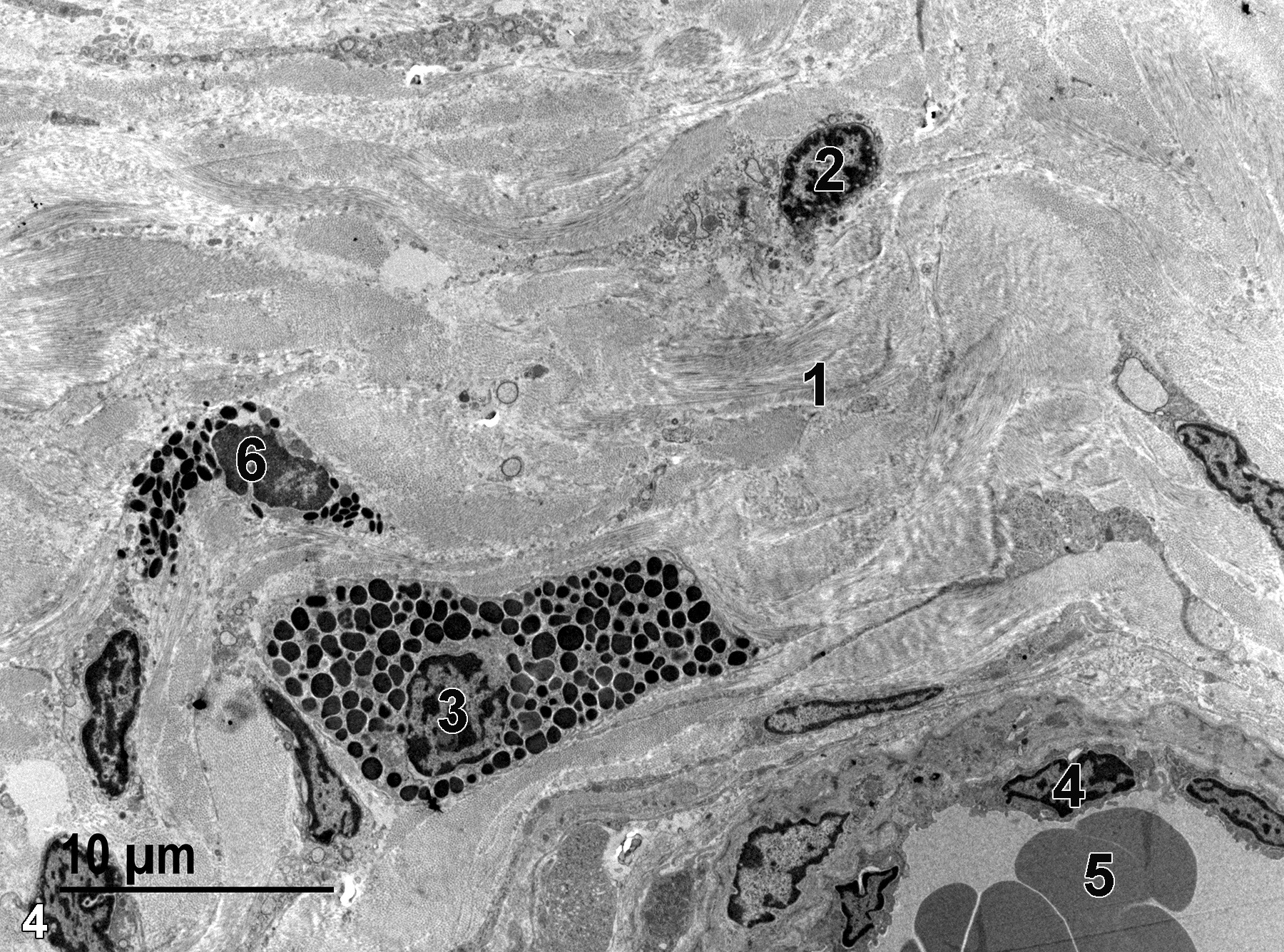
Narrative
The vagina is a tubular organ lined with a vaginal wall with a well-vascularized mucous membrane that consists of a stratified epithelial cell layer, an intermediate epithelial cell layer, and a layer of basal epithelial cells. The vaginal epithelium undergoes changes depending on the stage of the estrous cycle observed (Dixon et al. 2018). The epithelial cells contain numerous tonofilaments and desmosomes that connect cellular projections into the intercellular spaces. Mitochondria, glycogen, and ribosomes are present. Below the epithelium is the lamina propria, which consists of collagenous connective tissue with fibroblasts, neutrophils, eosinophils, and mast cells. Below the lamina propria is a muscularis layer that consists of smooth muscle cells. The outermost layer of the vagina is the adventitia (Young and Heath 2000).
| Dixon D, Vidal JD, Leininger JR, Jokinen MP. 2018. Chapter 27: Oviduct, uterus, and vagina. In Boorman’s Pathology of the Rat (Suttie AW, ed.). 2nd ed. London: Academic Press, 537−559. |
| Rhodin JAG. 1974. Histology: A Text and Atlas. New York: Oxford University Press. |
| Weiss L, ed. 1988. Cell and Tissue Biology: A Textbook of Histology. 6th ed. Baltimore: Urban & Schwarzenberg. |
| Young B, Heath JW. 2000. Wheater’s Functional Histology: A Text and Colour Atlas. 4th ed. Edinburgh, UK: Churchill Livingstone. |
All Images




