Reproductive System, Female
Uterus
Narrative
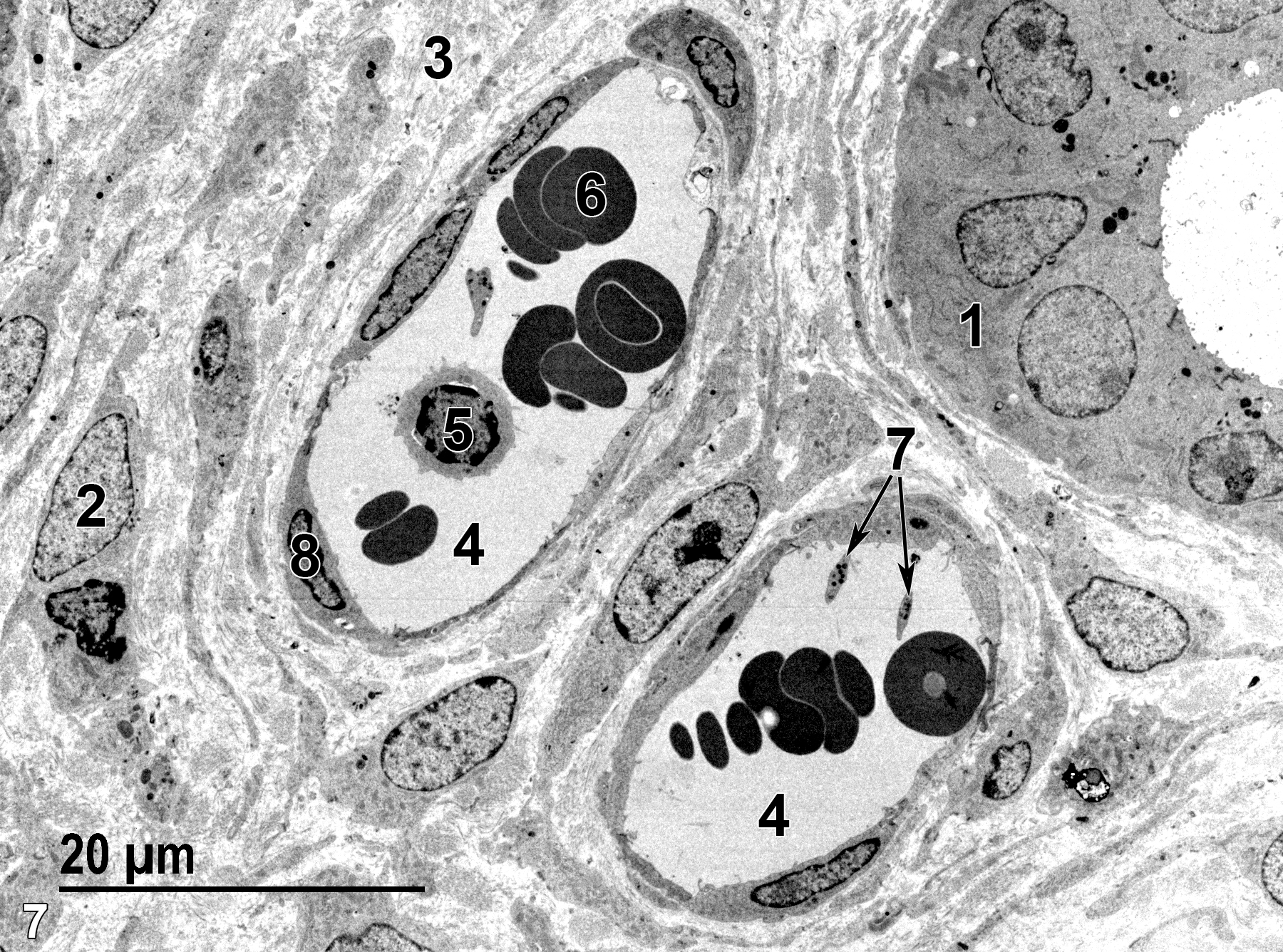
The uterus consists of bilateral horns, each having three layers, the endometrium (mucosa/submucosa), the myometrium (muscularis), and the perimetrium (serosa). The endometrium consists of a functional layer that changes depending on the stage of the estrous cycle observed. At the surface of this layer is an epithelium that varies in thickness depending on the estrous stage. The subepithelial layer below that (stroma) contains uterine glands, vascular elements, connective tissue, fibroblasts that produce the connective tissue, macrophages, mast cells, and occasional leukocytes such as eosinophils, neutrophils, and lymphocytes. Below the functional layer, the myometrium contains smooth muscle cells, connective tissue, fibroblasts, and macrophages. Finally, the perimetrium consists of loose connective tissue, smooth muscle cells, vascular elements, and neural elements.
| Cross PC, Mercer KL. 1993. Cell and Tissue Ultrastructure: A Functional Perspective. New York: W.H. Freeman and Company. |
| Dellmann HD, Eurell J, eds. 1998. Textbook of Veterinary Histology. 5th ed. Philadelphia: Lippincott Williams & Wilkins. |
| Rhodin JAG. 1974. Histology: A Text and Atlas. New York: Oxford University Press. |
| Weiss L, ed. 1988. Cell and Tissue Biology: A Textbook of Histology. 6th ed. Baltimore: Urban & Schwarzenberg. |
All Images










