Reproductive System, Male
Epididymis
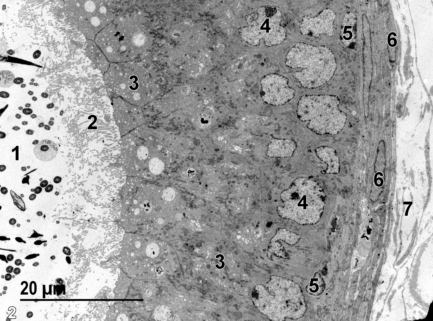
Narrative
The epididymis consists of a single convoluted duct (ductus epididymis). The ductus epididymis, in combination with connective tissue and muscle, forms four regions of the epididymis: the initial segment; the head (caput) at the upper pole of the testis; the body (corpus) following the medial posterior of the testis; and the tail (cauda) near the lower pole of the testis where it continues as the ductus deferens. The epididymal duct is lined with a pseudostratified columnar epithelium of multiple cell types, including principal cells, basal cells, clear cells, apical cells, and halo cells. These cell types vary in number and appearance depending on the segment of the epididymis (De Grava Kempinas and Klinefelter 2015). The columnar principal cells have stereocilia (long microvilli) at their apical aspects that extend into the duct lumen and numerous pinocytotic vesicles at the cell surface, large amounts of smooth endoplasmic reticulum, large vacuoles, Golgi bodies, mitochondria, and sparse rough endoplasmic reticulum. Principal cells in the corpus have abundant supranuclear lipid. The basal aspect of the columnar epithelial cells (principal cells) has a single, mostly rounded nucleus with fairly dispersed heterochromatin, large amounts of rough endoplasmic reticulum, and lysosomes. The basal epithelial cells have somewhat flattened nuclei that are smaller than those of the columnar cells and have more marginated heterochromatin than that seen in the columnar cells. The height of the epithelium is decreased in the cauda compared with the caput and corpus. Clear cells are prevalent in the corpus. The epithelial cells are separated from loose connective tissue and smooth muscle cells surrounding the ductus epididymis by a thin basal lamina. The smooth muscle cells beneath the basal lamina of the epithelium have flattened elongated nuclei, prominent pinocytotic vesicles along the plasma membrane, and cytoplasm filled with actin and myosin filaments. Collagen fibers are in clusters around the smooth muscle cells and then in larger quantities at the outside of the muscle cell layers.
| De Grava Kempinas W, Klinefelter GR. 2015. Interpreting histopathology in the epididymis. Spermatogenesis 8;4(2):e979114. |
| Dellmann HD, Eurell J, eds. 1998. Textbook of Veterinary Histology. 5th ed. Philadelphia: Lippincott Williams & Wilkins. |
| Rhodin JAG. 1974. Histology: A Text and Atlas. New York: Oxford University Press. |
| Ross MH, Kaye GI, Pawlina W. 2003. Histology: A Text and Atlas. 4th ed. Philadelphia: Lippincott Williams & Wilkins. |
| Weiss L, ed. 1988. Cell and Tissue Biology: A Textbook of Histology. 6th ed. Baltimore: Urban & Schwarzenberg. |
All Images







