Integumentary System

Skin - Inflammation

    Narrative
    <p>Acute inflammation-dense infiltrations of neutrophils and osseous metaplasia in a male B6C3F1 mouse from a chronic study.</p>

    Acute inflammation-dense infiltrations of neutrophils and osseous metaplasia in a male B6C3F1 mouse from a chronic study.

    <p>Acute inflammation-infiltrations of neutrophils in a male B6C3F1 mouse from a chronic study.</p>

    Acute inflammation-infiltrations of neutrophils in a male B6C3F1 mouse from a chronic study.

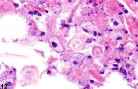
    <p>Acute inflammation-infiltrations of neutrophils in a male B6C3F1 mouse from a 2-year study.</p>

    Acute inflammation-infiltrations of neutrophils in a male B6C3F1 mouse from a 2-year study.

    <p>Suppurative inflammation-degenerate neutrophils and cellular debris in an untreated male B6C3F1 mouse from a chronic study.</p>

    Suppurative inflammation-degenerate neutrophils and cellular debris in an untreated male B6C3F1 mouse from a chronic study.

    <p>Suppurative inflammation-degenerate neutrophils and cellular debris in an untreated male B6C3F1 mouse from a chronic study.</p>

    Suppurative inflammation-degenerate neutrophils and cellular debris in an untreated male B6C3F1 mouse from a chronic study.

    <p>chronic inflammation-mononuclear cells and fibrosis in a female B6C3F1 mouse from a chronic study.</p>

    chronic inflammation-mononuclear cells and fibrosis in a female B6C3F1 mouse from a chronic study.

    <p>chronic inflammation-mononuclear cells and fibrosis in a female B6C3F1 mouse from a chronic study.</p>

    chronic inflammation-mononuclear cells and fibrosis in a female B6C3F1 mouse from a chronic study.

    <p>chronic active inflammation-mononuclear inflammation, neutrophilic inflammation, fibrosis, and osseous metaplasia in a male B6C3F1 mouse from a chronic study.</p>

    chronic active inflammation-mononuclear inflammation, neutrophilic inflammation, fibrosis, and osseous metaplasia in a male B6C3F1 mouse from a chronic study.

    <p>chronic active inflammation-mononuclear inflammation, neutrophilic inflammation, fibrosis, and osseous metaplasia in a male B6C3F1 mouse from a chronic study.</p>

    chronic active inflammation-mononuclear inflammation, neutrophilic inflammation, fibrosis, and osseous metaplasia in a male B6C3F1 mouse from a chronic study.

    <p>Granulomatous inflammation-multinucleated giant cells surrounding central necrosis (asterisk) in a male B6C3F1 mouse from a chronic study.</p>

    Granulomatous inflammation-multinucleated giant cells surrounding central necrosis (asterisk) in a male B6C3F1 mouse from a chronic study.

    <p>Granulomatous inflammation-large accumulation of macrophages within the subcutis in a male B6C3F1 mouse from a chronic study.</p>

    Granulomatous inflammation-large accumulation of macrophages within the subcutis in a male B6C3F1 mouse from a chronic study.

    <p>Granulomatous inflammation-macrophages with cellular debris in a male B6C3F1 mouse from a chronic study.</p>

    Granulomatous inflammation-macrophages with cellular debris in a male B6C3F1 mouse from a chronic study.

    Authors

    Molly H. Boyle, DVM, MPH, DACVP
    Toxicologic Pathologist
    Integrated Laboratory Systems, Inc.
    Research Triangle Park, NC

    Georgette D. Hill, D.V.M., Ph.D.
    Toxicologic Pathologist
    Assistant Pathology Program Manager
    Integrated Laboratory Systems, Inc. Research Triangle Park, NC

    Reviewers

    Michael R. Elwell, DVM, PhD, DACVP
    Anatomic Pathologist
    Covance Laboratories, Inc.
    Washington, D.C.

    David E. Malarkey DVM, PhD, DACVP, FIATP
    Head, National Toxicology Program Pathology Group
    Cellular and Molecular Pathology Branch
    Division of the National Toxicology Program
    National Institute of Environmental Health Sciences
    Research Triangle Park, NC