Urinary System

Kidney, Renal Tubule - Hypertrophy

    Narrative
    <p>Kidney, Renal tubule - Hypertrophy in a male F344/N rat from a chronic study. These hypertrophied tubular epithelial cells with an increased amount of amorphous, eosinophilic cytoplasm and small, round, dense nuclei are associated with chronic progressive nephropathy.</p>

    Kidney, Renal tubule - Hypertrophy in a male F344/N rat from a chronic study. These hypertrophied tubular epithelial cells with an increased amount of amorphous, eosinophilic cytoplasm and small, round, dense nuclei are associated with chronic progressive nephropathy.

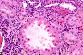
    <p>Kidney, Renal tubule - Hypertrophy in a male F344/N rat. This is a slightly higher magnification example of a hypertrophied tubule.</p>

    Kidney, Renal tubule - Hypertrophy in a male F344/N rat. This is a slightly higher magnification example of a hypertrophied tubule.

    Authors 

    John Curtis Seely, DVM, DACVP
    Senior Pathologist
    Experimental Pathology Laboratories, Inc.
    Research Triangle Park, NC

    Amy Brix, DVM, PhD, DACVP
    Senior Pathologist
    Experimental Pathology Laboratories, Inc.
    Research Triangle Park, NC

    Reviewers

    Kendall S. Frazier, DVM, PhD, DACVP, DABT
    Director, Cellular and Molecular Pathology, Safety Assessment
    GlaxoSmithKline
    King of Prussia, PA

    Gordon C. Hard, BSc, BVSc, PhD, DSc, FRCPath, FRCVS, FAToxSci, DACVP
    Expert Consultant
    Tairua, New Zealand

    Susan A. Elmore, MS, DVM, DACVP, DABT, FIATP
    Staff Scientist, NTP Pathologist
    NTP Pathology Group
    National Toxicology Program
    National Institute of Environmental Health Sciences
    Research Triangle Park, NC