Endocrine System

Adrenal Gland - Accessory Adrenocortical Nodule

    Narrative
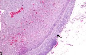
    <p>Adrenal gland - Accessory adrenocortical nodule in a male F344/N rat from a chronic study. There is a nodule of adrenal cortical cells on the extracapsular surface (arrow).</p>

    Adrenal gland - Accessory adrenocortical nodule in a male F344/N rat from a chronic study. There is a nodule of adrenal cortical cells on the extracapsular surface (arrow).

    <p>Adrenal gland - Accessory adrenocortical nodule in a male F344/N rat from a chronic study (higher magnification of Figure 1). The cells of this accessory adrenocortical nodule (asterisk) at the extracapsular surface are well-differentiated zona fasciculata cells and are surrounded by a delicate fibrous capsule (arrow).</p>

    Adrenal gland - Accessory adrenocortical nodule in a male F344/N rat from a chronic study (higher magnification of Figure 1). The cells of this accessory adrenocortical nodule (asterisk) at the extracapsular surface are well-differentiated zona fasciculata cells and are surrounded by a delicate fibrous capsule (arrow).

    <p>Adrenal gland - Accessory adrenocortical nodule in a male F344/N rat from a chronic study. Accessory cortical tissue within the capsule is composed of nests of cortical cells (arrow).</p>

    Adrenal gland - Accessory adrenocortical nodule in a male F344/N rat from a chronic study. Accessory cortical tissue within the capsule is composed of nests of cortical cells (arrow).

    <p>Adrenal gland - Accessory adrenocortical nodule in a male F344/N rat from a chronic study (higher magnification of Figure 3). The cortical cells comprising this accessory cortical tissue in the capsule have a more primitive appearance (arrow).</p>

    Adrenal gland - Accessory adrenocortical nodule in a male F344/N rat from a chronic study (higher magnification of Figure 3). The cortical cells comprising this accessory cortical tissue in the capsule have a more primitive appearance (arrow).

    <p>Periadrenal fat - Accessory adrenocortical nodule in a male B6C3F1/N mouse from a chronic study. An accessory cortical nodule (arrow) is present in the periadrenal (retroperitoneal) fat.</p>

    Periadrenal fat - Accessory adrenocortical nodule in a male B6C3F1/N mouse from a chronic study. An accessory cortical nodule (arrow) is present in the periadrenal (retroperitoneal) fat.

    <p>Periadrenal fat - Accessory adrenocortical nodule in a male B6C3F1/N mouse from a chronic study (higher magnification of Figure 5). Accessory cortical nodule (arrow) is composed of well-differentiated adrenal cortical cells surrounded by a thin fibrous capsule in the periadrenal (retroperitoneal) fat.</p>

    Periadrenal fat - Accessory adrenocortical nodule in a male B6C3F1/N mouse from a chronic study (higher magnification of Figure 5). Accessory cortical nodule (arrow) is composed of well-differentiated adrenal cortical cells surrounded by a thin fibrous capsule in the periadrenal (retroperitoneal) fat.

    Authors

    Mark J. Hoenerhoff, DVM, PhD, DACVP
    Associate Professor
    Veterinary Pathologist, In Vivo Animal Core
    Unit for Laboratory Animal Medicine
    University of Michigan
    Ann Arbor, MI

    Georgette D. Hill, D.V.M., Ph.D.
    Toxicologic Pathologist/Assistant Pathology Program Manager
    Comparative Molecular Pathology Division
    Integrated Laboratory Systems, Inc.
    Research Triangle Park, NC

    Margarita M. Gruebbel, DVM, PhD, DACVP
    Senior Pathologist
    Experimental Pathology Laboratories, Inc.
    Research Triangle Park, NC

    Reviewers

    Thomas J. Rosol, DVM, PhD, DACVP
    Professor of Veterinary Biosciences
    Senior Advisor, Life Sciences, Technology Commercialization and Knowledge Transfer
    The Ohio State University
    Columbus, OH

    Gordon Flake, MD
    Staff Scientist
    NTP Pathologist
    Cellular and Molecular Pathology Branch
    National Institute of Environmental Health Sciences
    Research Triangle Park, NC