Skip to Main Navigation Skip to Page Content
U.S. flag

An official website of the United States government

Dot gov

The .gov means it’s official.
Federal government websites often end in .gov or .mil. Before sharing sensitive information, make sure you’re on a federal government site.

Https

The site is secure.
The https:// ensures that you are connecting to the official website and that any information you provide is encrypted and transmitted securely.

  • Calendar & Events
  • News & Media
  • Get Involved
  • Support
National Toxicology Program
National Toxicology Program - U.S. Department of Health and Human Services

Nonneoplastic Lesion Atlas

A guide for standardizing terminology in toxicologic pathology for rodents 

  • Menu
  • Search
  • Home
  • Purpose
  • Guide to Use the Atlas
  • Contributors
  • Contact Us
  1. Home
  2. Data & Resources
  3. Nonneoplastic Lesion Atlas - National Toxicology Program
  4. Integumentary System
  5. Mammary gland
  • Atlas Home
  • Alimentary System
    • Esophagus
      • Amyloid
      • Angiectasis
      • Dilation
      • Diverticulum
      • Edema
      • Hemorrhage
      • Hyperkeratosis
      • Hyperplasia
      • Inflammation
      • Muscularis - Degeneration
      • Ulcer
    • Oral Mucosa
      • Cyst, Squamous
      • Foreign Body
      • Gingiva - Ectopic Tissue
      • Hyperplasia, Cystic, Keratinizing
      • Hyperplasia, Squamous
      • Inflammation
      • Necrosis
      • Ulcer
    • Salivary Gland
      • Amyloid
      • Atrophy
      • Duct - Concretion
      • Duct - Cyst
      • Duct - Dilation
      • Duct - Metaplasia, Squamous
      • Edema
      • Fibrosis
      • Hemorrhage
      • Hyperplasia
      • Infiltration, Cellular
      • Inflammation
      • Karyomegaly
      • Necrosis
      • Parotid - Basophilic Hypertrophic Focus
      • Parotid, Acinus - Hypertrophy
      • Submandibular - Secretory Depletion
      • Submandibular, Duct - Cytoplasmic Alteration
      • Vacuolation, Cytoplasmic
    • Stomach, Forestomach
      • Angiectasis
      • Cyst
      • Diverticulum
      • Ectopic Tissue
      • Edema
      • Epithelium - Degeneration
      • Epithelium - Hyperplasia, Atypical
      • Epithelium - Hyperplasia, [Focal, Diffuse]
      • Erosion
      • Fibrosis
      • Foreign Body
      • Hemorrhage
      • Hyperkeratosis
      • Inflammation
      • Mineralization
      • Necrosis
      • Parasite, Metazoan
      • Perforation
      • Ulcer
    • Stomach, Glandular Stomach
      • Amyloid
      • Angiectasis
      • Atrophy
      • Ectopic Tissue
      • Edema
      • Epithelium - Hyperplasia
      • Epithelium - Hyperplasia, Atypical
      • Epithelium - Vacuolation, Cytoplasmic
      • Erosion
      • Fibrosis
      • Foreign body
      • Glands - Cyst
      • Glands - Dilation
      • Hemorrhage
      • Hyaline Droplet
      • Infiltration, Cellular
      • Inflammation
      • Metaplasia, Intestinal
      • Metaplasia, Squamous
      • Mineralization
      • Necrosis
      • Neuroendocrine Cell - Hyperplasia
      • Pigment
      • Thrombus
      • Ulcer
    • Tongue
      • Angiectasis
      • Edema
      • Epithelium - Degeneration
      • Epithelium - Hyperplasia
      • Fibrosis
      • Glands - Cyst
      • Hemorrhage
      • Hyperkeratosis
      • Inflammation
      • Mucosa - Fibroepithelial Polyp
      • Necrosis
      • Squamous Cyst
      • Ulcer
    • Tooth
      • Ameloblast - Atrophy
      • Ameloblast - Metaplasia, Squamous
      • Angiectasis
      • Dental Dysplasia
      • Denticle
      • Dentin - Basophilic Granules
      • Fibrosis
      • Incisor - Degeneration
      • Inflammation
      • Necrosis
      • Odontoblast - Degeneration
      • Odontoblast - Necrosis
      • Periodontal Pocket
      • Pulp - Osteodentin
      • Pulp - Thrombus
  • Cardiovascular System
    • Blood Vessel
      • Amyloid
      • Arteriosclerosis
      • Artery - Hypertrophy, Medial
      • Embolus
      • Metaplasia
      • Mineral
      • Necrosis
      • Pigment
      • Polyarteritis Nodosa
      • Proliferation, Intimal
      • Thrombus
    • Heart
      • Amyloid
      • Atrophy
      • Cardiomyopathy
      • Cyst
      • Hemorrhage
      • Inflammation
      • Mineral
      • Myocardium - Necrosis
      • Myocardium - Vacuolation, Cytoplasmic
      • Thrombus
      • Valve - Degeneration, Myxomatous
  • Endocrine System
    • Adrenal Gland
      • Accessory Adrenocortical Nodule
      • Amyloid
      • Angiectasis
      • Cortex - Atrophy
      • Cortex - Cellular Atypia
      • Cortex - Degeneration, Cystic
      • Cortex - Hyperplasia, Subcapsular
      • Cortex - Hypertrophy
      • Cortex - Vacuolization, Cytoplasmic
      • Cortex, X-Zone - Atrophy
      • Cyst
      • Extramedullary Hematopoiesis
      • Fibrosis
      • Hemorrhage
      • Hyperplasia
      • Infarct
      • Inflammation
      • Mineralization
      • Necrosis
      • Pigment
    • Pancreatic Islets
      • Angiectasis
      • Cyst
      • Hyperplasia
      • Hypoplasia
      • Metaplasia, Hepatocyte
      • Necrosis
    • Parathyroid Gland
      • Angiectasis
      • Cyst, Congenital
      • Ectopic Tissue
      • Fibrosis
      • Hyperplasia, Diffuse
      • Hyperplasia, Focal
      • Syncytial Giant Cell
    • Pituitary Gland
      • Cyst
      • Hyperplasia
      • Pars Distalis - Atrophy
      • Pars Distalis - Necrosis
      • Rathke's Cleft - Dilation
    • Thyroid Gland
      • C Cell Hyperplasia
      • Cyst, Congenital
      • Ectopic Tissue
      • Follicle - Degeneration
      • Follicle - Dilation
      • Follicle - Mineralization
      • Follicle - Pigment
      • Follicle, Epithelium - Hyperplasia
      • Follicular Cell - Hypertrophy
      • Inflammation
  • Hematopoietic System
    • Bone Marrow
      • Angiectasis
      • Fibrosis
      • Gelatinous Transformation
      • Hypercellularity
      • Hypocellularity
      • Infiltration Cellular, Histiocyte
      • Infiltration Cellular, Mast Cell
      • Inflammation
      • Necrosis
      • Pigment
  • Hepatobiliary System
    • Gallbladder
      • Epithelium - Hyperplasia
      • Hyaline Droplet Accumulation
      • Inflammation
    • Liver
      • Amyloid
      • Angiectasis
      • Atrophy
      • Bile Duct - Cyst
      • Bile Duct - Hyperplasia
      • Cholangiofibrosis
      • Extramedullary Hematopoiesis
      • Fatty Change
      • Focus
      • Hepatocyte - Apoptosis
      • Hepatocyte - Cytoplasmic Inclusions
      • Hepatocyte - Glycogen Accumulation
      • Hepatocyte – Hyperplasia, Nodular
      • Hepatocyte - Hypertrophy
      • Hepatocyte – Increased Mitosis
      • Hepatocyte - Karyomegaly
      • Hepatodiaphragmatic Nodule
      • Inflammation
      • Intrahepatocellular Erythrocytes
      • Kupffer Cell - Hyperplasia
      • Necrosis
      • Oval Cell - Hyperplasia
      • Pigment
      • Stellate Cell - Hyperplasia
      • Tension Lipidosis
  • Immune System
    • Lymph Node
      • Angiectasis
      • Apoptosis, Lymphocyte
      • Atrophy
      • Congestion
      • Erythrophagocytosis
      • Extramedullary Hematopoiesis
      • Hyperplasia, Lymphocyte
      • Hyperplasia, Mast Cell
      • Hyperplasia, Plasma Cell
      • Inflammation
      • Inflitration, Cellular, Histiocyte
      • Lymphatic Sinus, Ectasia
      • Necrosis
      • Pigment
      • Sinus Erythrocytosis
    • Spleen
      • Accessory Spleen
      • Adipocyte Metaplasia
      • Amyloid
      • Angiectasis
      • Apoptosis, Lymphocyte
      • Atrophy
      • Congestion
      • Erythrophagocytosis
      • Extramedullary Hematopoiesis
      • Fibrosis
      • Hemorrhage
      • Hyperplasia, Lymphocyte
      • Hyperplasia, Mast Cell
      • Hyperplasia, Plasma Cell
      • Inflammation
      • Necrosis
      • Pigment
      • Red Pulp - Hyperplasia, Stromal
    • Thymus
      • Amyloid
      • Apoptosis, Lymphocyte
      • Atrophy
      • Atypical Hyperplasia, Lymphocyte
      • Cyst
      • Ectopic Tissue
      • Hemorrhage
      • Hyperplasia, Epithelial
      • Inflammation
      • Involution
      • Mineralization
      • Necrosis, Lymphocyte
      • Pigment
  • Integumentary System
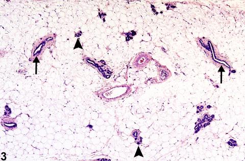
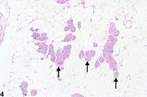
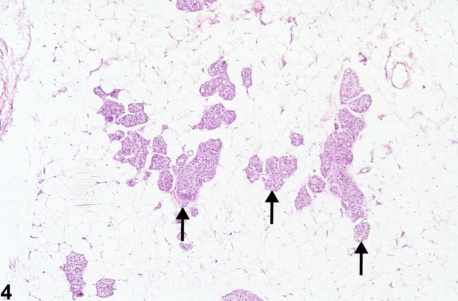
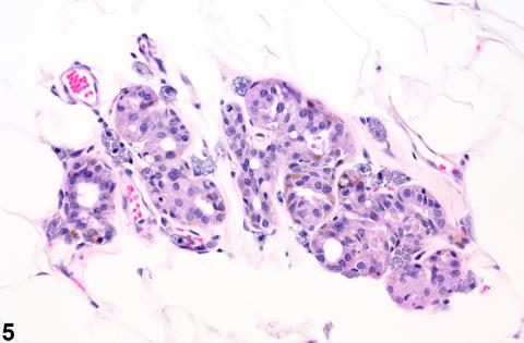
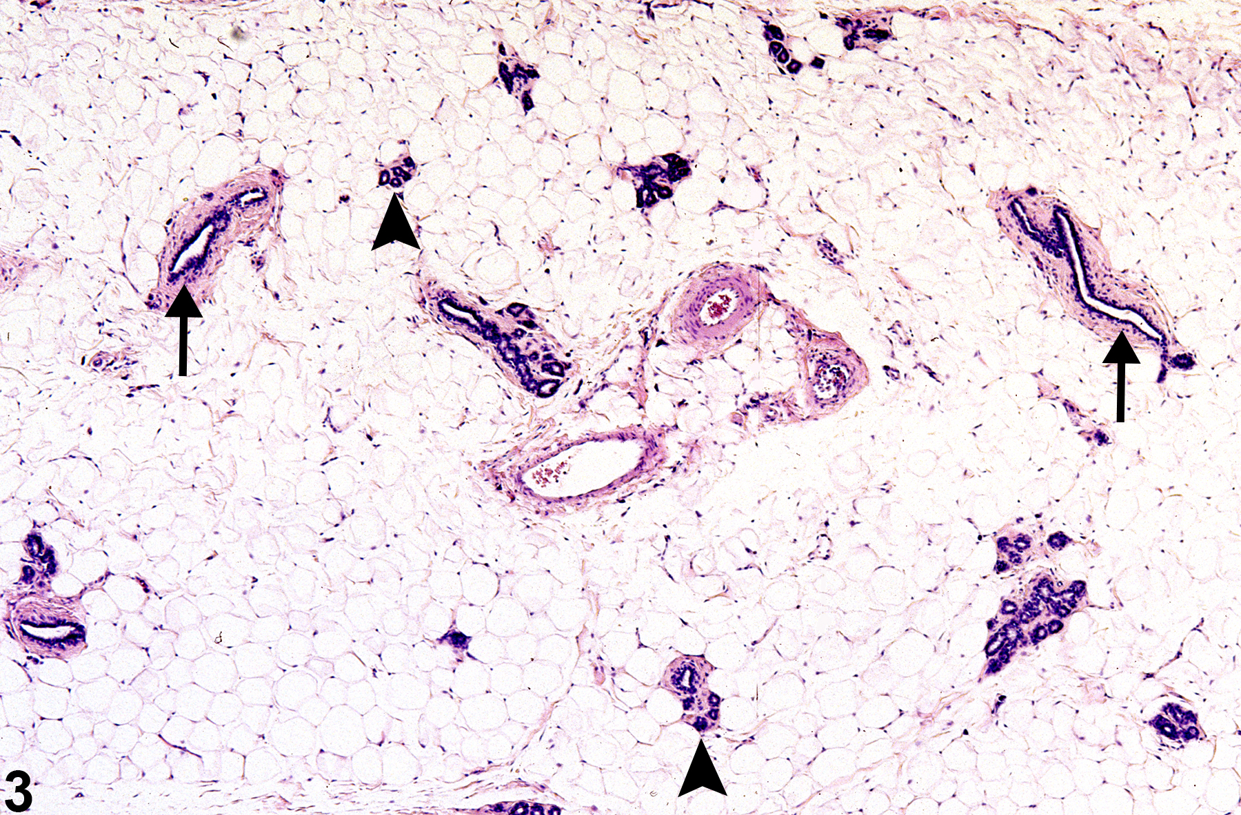
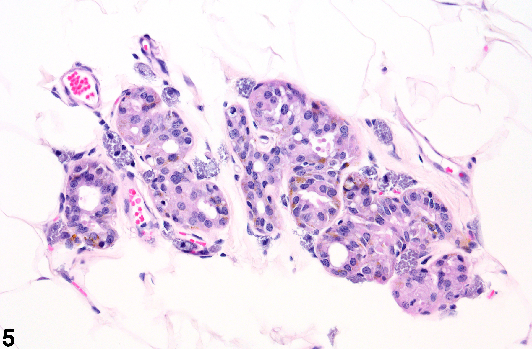
    • Mammary Gland
    • Skin
      • Amyloid
      • Atrophy
      • Ectoparasites
      • Fibroadnexal Hamartoma
      • Fibrosis
      • Hair Follicle - Dilatation and Cyst
      • Hemorrhage
      • Hyperkeratosis
      • Hyperplasia
      • Inflammation
      • Necrosis
      • Pigment
      • Pustule
      • Ulcer and Erosion
      • Vesicle
  • Musculoskeletal System
    • Bone
      • Callus
      • Cyst
      • Decreased Bone
      • Fibro-osseous Lesion
      • Fibrous Osteodystrophy
      • Fracture
      • Increased Bone
      • Increased Osteoid
      • Inflammation
      • Intervertebral Disc - Degeneration
      • Joint - Degeneration
      • Joint - Inflammation
      • Necrosis
      • Osteochondrosis
      • Physeal Dysplasia
    • Skeletal Muscle
      • Angiectasis
      • Atrophy
      • Cyst
      • Degeneration
      • Edema
      • Fibrosis
      • Hemorrhage
      • Hypertrophy
      • Inflammation
      • Mineralization
      • Necrosis
      • Regeneration
  • Nervous System
    • Brain
      • Angiectasis
      • Axonopathy
      • Cholesterol Clefts
      • Dysplasia
      • Epidermoid Cyst
      • Hemorrhage
      • Hydrocephalus
      • Inflammation
      • Intramyelinic Edema
      • Leptomeninges - Hamartoma, Lipomatous
      • Microgliosis
      • Mineralization
      • Necrosis
      • Neuron - Cell Loss
      • Neuron - Chromatolysis
      • Neuron - Degeneration
      • Neuron - Necrosis
      • Pigment
    • Nerve
      • Ectopic Neuron
    • Spinal Cord
      • Demyelination
      • Dorsal Root Ganglion, Neuron - Vacuolation
  • Reproductive System, Female
    • Clitoral Gland
      • Angiectasis
      • Atrophy
      • Duct - Dilation
      • Fibrosis
      • Hyperplasia
      • Infiltration Cellular
      • Inflammation
      • Mineralization
      • Pigment
    • Ovary
      • Amyloid
      • Angiectasis
      • Atrophy
      • Bursa - Cyst
      • Corpus Luteum - Cyst
      • Cyst
      • Cyst, Epithelial
      • Epithelium - Hyperplasia
      • Fatty Change
      • Follicle - Cyst
      • Follicle - Polyovular
      • Hyperplasia, Sertoliform
      • Infiltration Cellular
      • Inflammation
      • Interstitial Cell - Hyperplasia
      • Mesonephric Duct Remnant
      • Metaplasia, Osseous
      • Mineral
      • Necrosis
      • Paraovarian Tissue - Cyst
      • Pigment
      • Thrombosis
    • Oviduct
      • Atrophy
      • Inflammation
      • Mesonephric Duct Remnant
      • Necrosis
    • Uterus
      • Adenomyosis
      • Amyloid
      • Atrophy
      • Cervix - Cyst, Squamous
      • Decidual Reaction
      • Dilation
      • Edema
      • Endometrium - Hyperplasia, Cystic
      • Endometrium - Metaplasia, Squamous
      • Fibrosis
      • Hemorrhage
      • Hyperplasia, Atypical
      • Hyperplasia, Stromal
      • Inflammation
      • Mesonephric Duct Remnant
      • Necrosis
      • Pigment
      • Thrombus
    • Vagina
      • Angiectasis
      • Cyst
      • Dilation
      • Epithelium - Hyperplasia
      • Fibrosis
      • Hypertrophy, Stromal
      • Inflammation
      • Mucification
      • Necrosis
      • Pigment
      • Ulcer
  • Reproductive System, Male
    • Coagulating Gland
      • Atrophy
      • Dilation, Acinar
      • Hyperplasia
      • Inflammation
    • Ductus Deferens
      • Inflammation
      • Mineralization
    • Epididymis
      • Amyloid
      • Duct - Atrophy
      • Duct - Dilation
      • Duct - Exfoliated Germ Cell
      • Epithelium - Apoptosis
      • Epithelium - Degeneration
      • Epithelium - Karyomegaly
      • Epithelium - Vacuolation
      • Hypospermia
      • Inflammation
      • Sperm Granuloma
      • Sperm Stasis
      • Spermatocele
    • Penis
      • Epithelium - Hyperplasia
      • Fibrosis
      • Inflammation
      • Prepuce - Inflammation
    • Preputial Gland
      • Atrophy
      • Duct - Dilation
      • Hyperplasia
      • Inflammation
      • Metaplasia, Osseous
      • Mineralization
      • Necrosis
    • Prostate
      • Acinus - Atrophy
      • Acinus - Cyst(s), Mucinous
      • Acinus - Dilation
      • Acinus - Secretory alteration (concretions)
      • Edema
      • Epithelium - Degeneration
      • Epithelium - Hyperplasia
      • Inflammation
      • Mineralization
    • Seminal Vesicle
      • Amyloid
      • Atrophy
      • Dilation
      • Epithelium - Hyperplasia
      • Inflammation
      • Mineralization
    • Testis
      • Amyloid
      • Atypical Residual Bodies
      • Fibrosis
      • Germ Cell - Exfoliation
      • Germinal Epithelium - Atrophy
      • Germinal Epithelium - Degeneration
      • Inflammation
      • Interstitial Cell - Hyperplasia
      • Interstitial Cell - Syncytial Cells
      • Interstitial Cell - Vacuolation
      • Mineralization
      • Pigment
      • Rete Dilation
      • Rete Hyperplasia
      • Seminiferous Tubule - Dilation
      • Seminiferous Tubule - Giant Cells
      • Seminiferous Tubule - Necrosis
      • Seminiferous Tubule - Retention, Spermatid
      • Seminiferous Tubule - Vacuolation
      • Sperm Granuloma
      • Sperm Stasis
      • Spermatocele
  • Respiratory System
    • Lung
      • Alveolar/Bronchiolar Epithelium - Hyperplasia
      • Amyloid
      • Atypia, Cellular
      • Bronchiectasis
      • Crystals
      • Emphysema
      • Epithelium - Degeneration
      • Epithelium - Necrosis
      • Epithelium, Alveolus - Hyperplasia
      • Fibrosis
      • Foreign Body
      • Foreign Material
      • Glands - Cyst
      • Hemorrhage
      • Hypertrophy, Smooth Muscle
      • Infiltration Cellular, Histiocyte
      • Inflammation
      • Keratinizing Cyst
      • Metaplasia, Goblet Cell
      • Metaplasia, Osseous
      • Metaplasia, Squamous
      • Mineral
      • Pigment
      • Proteinosis
      • Regeneration
      • Ulceration
      • Vacuolization, Cytoplasmic
    • Nose
      • Bone - Periosteal Proliferation
      • Concretion
      • Eosinophilic Material
      • Epithelium - Accumulation, Hyaline Droplet
      • Epithelium - Degeneration
      • Epithelium - Fibrosis
      • Epithelium - Hyperplasia
      • Epithelium - Hyperplasia, Atypical
      • Epithelium - Metaplasia, Squamous
      • Epithelium - Necrosis
      • Epithelium - Regeneration
      • Foreign Body
      • Foreign Material
      • Fungus
      • Hyperplasia, Goblet Cell
      • Inflammation
      • Nerve - Atrophy
      • Olfactory Epithelium - Atrophy
      • Olfactory Epithelium - Hyperplasia, Basal Cell
      • Olfactory Epithelium - Metaplasia, Respiratory
      • Olfactory Epithelium, Glands - Hyperplasia
      • Olfactory Epithelium, Glands - Metaplasia
      • Pigment
      • Polyp, Inflammatory
      • Respiratory Epithelium, Glands - Dilation
      • Septum - Perforation
      • Steno's Glands - Degeneration
      • Turbinate - Atrophy
      • Turbinate - Hyperostosis
      • Turbinate - Synechia
  • Special Senses System
    • Ear
      • Canal - Dilation
      • Epithelium - Hyperplasia
      • Inflammation
      • Proteinaceous Fluid
      • Ulcer
    • Eye
      • Anterior Chamber - Hemorrhage
      • Anterior Chamber - Proteinaceous Fluid
      • Conjunctiva - Edema
      • Cornea - Cyst
      • Cornea - Edema
      • Cornea - Fibrosis
      • Cornea - Hyperplasia, Squamous
      • Cornea - Metaplasia, Goblet Cell
      • Cornea - Mineralization
      • Cornea - Necrosis
      • Cornea - Neovascularization
      • Cornea - Ulcer
      • Cornea - Vacuolation, Cytoplasmic
      • Inflammation
      • Iris - Synechia
      • Lens - Cataract
      • Optic Nerve - Degeneration
      • Optic Nerve - Gliosis
      • Phthisis Bulbi
      • Retina - Degeneration
      • Retina - Detachment
      • Retina - Dysplasia
      • Retina - Gliosis
      • Retina - Hemorrhage
      • Retrobulbar - Hemorrhage
      • Sclera - Metaplasia, Osseous
      • Vitreous - Fibrosis
      • Vitreous - Hemorrhage
      • Vitreous - Proteinaceous Fluid
    • Harderian Gland
      • Atrophy
      • Cyst
      • Dilation
      • Hemorrhage
      • Hyperplasia
      • Infiltration Cellular, Mononuclear Cell
      • Inflammation
      • Necrosis
      • Pigment
    • Lacrimal Gland
      • Atrophy
      • Infiltration Cellular, Mononuclear Cell
      • Inflammation
      • Karyomegaly
      • Metaplasia, Harderian
    • Zymbal's Gland
      • Duct - Cyst
      • Hyperplasia
      • Hypertrophy
      • Inflammation
  • Urinary System
    • Kidney
      • Amyloid
      • Calculus
      • Crystals
      • Cyst
      • Ectopic Tissue
      • Fibrosis
      • Glomerulonephritis
      • Glomerulosclerosis
      • Glomerulus - Metaplasia
      • Hyaline Glomerulopathy
      • Infarct
      • Inflammation
      • Interstitium - Infiltration, Cellular
      • Karyomegaly
      • Metaplasia, Osseous
      • Mineralization
      • Nephroblastematosis
      • Nephropathy, Chronic Progressive
      • Nephropathy, Obstructive
      • Papilla - Necrosis
      • Papilla, Epithelium - Hyperplasia
      • Pelvis - Dilation
      • Renal Tubule - Accumulation, Hyaline Droplet
      • Renal Tubule - Atypical Tubule Hyperplasia
      • Renal Tubule - Cast
      • Renal Tubule - Cytoplasmic Alteration
      • Renal Tubule - Degeneration
      • Renal Tubule - Dilation
      • Renal Tubule - Hyperplasia, Amphophilic-Vacuolar
      • Renal Tubule - Hyperplasia, Oncocytic
      • Renal Tubule - Hypertrophy
      • Renal Tubule - Necrosis
      • Renal Tubule - Regeneration
      • Renal Tubule - Vacuolation, Cytoplasmic
      • Urothelium - Hyperplasia
    • Ureter
      • Dilation
    • Urinary Bladder
      • Angiectasis
      • Calculus/Crystal
      • Dilation
      • Edema
      • Hemorrhage
      • Infiltration Cellular, Lymphocyte
      • Inflammation
      • Metaplasia
      • Mineralization
      • Necrosis
      • Pigment
      • Proteinaceous Plug
      • Ulcer
      • Urothelium - Cytoplasmic Granules
      • Urothelium - Hyperplasia
      • Vacuolation, Cytoplasmic
Back to Top
Web page last updated onLast updated January 9, 2026
Calendar & Events
  • Upcoming Events
  • BSC Meetings
  • Expert Panels
  • NICEATM Meetings
  • SACATM Meetings
  • Webinars & Workshops
  • Past Events
News & Media
  • FAQs & Fact Sheets
  • Federal Register Notices
  • Media Inquiries
  • News
  • NTP Newsletter Archives
  • Public Health Impact
Get Involved
  • Contact Us
  • Join the Expert Directory
  • Provide Input to NTP
  • Public Comments
  • Subscribe to News Updates
Support
  • Accessibility Information
  • Acronyms & Abbreviations
  • Search Help
  • Site Map
  • Visiting NTP
  • Web Policies

USA.gov is the U.S. government's official web portal to all federal, state, and local government web resources and servicesUSA.gov is the U.S. government's official web portal to all federal, state, and local government web resources and services U.S. Department of Health and Human ServicesU.S. Department of Health and Human Services
  • Freedom of Information Act
  • Inspector General
  • HHS Vulnerability Disclosure Policy
  • NIH Privacy Policy
NTP is headquartered administratively at the National Institute of Environmental Health Sciences, part of the National Institutes of Health
  • Staff:
  • Request an Update of this Page
  • Staff Intranet