Integumentary System

Skin - Amyloid

    Narrative
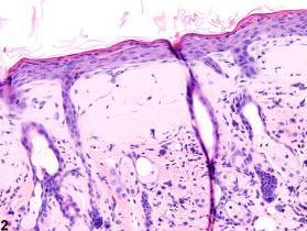
    <p>Amyloid-accumulations of amorphous, eosinophilic, extracellular material in a female Swiss CD-1 mouse from a chronic study.</p>

    Amyloid-accumulations of amorphous, eosinophilic, extracellular material in a female Swiss CD-1 mouse from a chronic study.

    <p>Amyloid-accumulations of amorphous, eosinophilic, extracellular material in a female Swiss CD-1 mouse from a chronic study.</p>

    Amyloid-accumulations of amorphous, eosinophilic, extracellular material in a female Swiss CD-1 mouse from a chronic study.

    Authors

    Molly H. Boyle, DVM, MPH, DACVP
    Toxicologic Pathologist
    Integrated Laboratory Systems, Inc.
    Research Triangle Park, NC

    Georgette D. Hill, D.V.M., Ph.D.
    Toxicologic Pathologist
    Assistant Pathology Program Manager
    Integrated Laboratory Systems, Inc. Research Triangle Park, NC

    Reviewers

    Michael R. Elwell, DVM, PhD, DACVP
    Anatomic Pathologist
    Covance Laboratories, Inc.
    Washington, D.C.

    David E. Malarkey DVM, PhD, DACVP, FIATP
    Head, National Toxicology Program Pathology Group
    Cellular and Molecular Pathology Branch
    Division of the National Toxicology Program
    National Institute of Environmental Health Sciences
    Research Triangle Park, NC