Urinary System
Kidney - Nephropathy, Chronic Progressive
Narrative
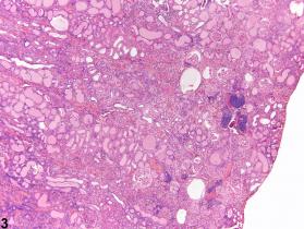
Early lesions consist of focal to multifocal foci of tubule basophilia, nuclear crowding, peritubular basement membrane thickening, and variable infiltration by mononuclear inflammatory cells (Figure 1). As the disease progresses, the amount of affected renal parenchyma increases, individual components of CPN become more severe, and hyaline casts are prominent (Figure 2 and Figure 3). At the same time, glomerular changes, such as capillary tuft thickening, adhesions between the glomerular epithelium and Bowman’s capsule, and glomerulosclerosis, may be evident. CPN may progress to end-stage kidney disease, resulting in the death of the animal (Figure 4). CPN can often be exacerbated by chemical administration. The incidence and severity of CPN are generally less in the mouse than in the rat (Figure 5).
CPN is often accompanied by hyperplasia of the lining epithelium of the renal papilla. It is important to know that in advanced stages of CPN, there may be a small but significant increase in the incidence of proliferative lesions of the proximal tubule. Nephropathy is a bilateral lesion and differing severities of nephropathy between the two kidneys is rarely noted.
Barthold SW. 1998. Chronic progressive nephropathy, rat. In: Monographs on Pathology of Laboratory Animals: Urinary System, 2nd ed (Jones TC, Hard GC, Mohr U, eds). Springer, Berlin, 228-233.
Abstract: http://www.ilsi.org/publications/urinarysystem.pdfGray JE. 1977. Chronic progressive nephrosis in the albino rat. Crit Rev Toxicol 5:115-144.
Greaves P. 2012. Histopathology of Preclinical Toxicity Studies, 4th ed. Elsevier, Amsterdam, 552-555.
Abstract: http://www.sciencedirect.com/science/book/9780444538567Hard GC, Khan KN. 2004. A contemporary overview of chronic progressive nephropathy in the laboratory rat, and its significance for human risk assessment. Toxicol Pathol 32:171-180.
Abstract: http://www.ncbi.nlm.nih.gov/pubmed/15200155Hard GC, Seely JC. 2005. Recommendations for the interpretation of renal tubule proliferative lesions occurring in rat kidneys with advanced chronic progressive nephropathy (CPN). Toxicol Pathol 33:641-649.
Abstract: http://www.ncbi.nlm.nih.gov/pubmed/16207638Hard GC, Seely JC. 2006. Histological investigation of diagnostically challenging tubule profiles in advanced chronic progressive nephropathy (CPN) in the Fischer 344 rat. Toxicol Pathol 34:941-948.
Abstract: http://www.ncbi.nlm.nih.gov/pubmed/17178694Montgomery CA, Seely JC. 1990. Kidney. In: Pathology of the Fischer Rat: Reference and Atlas (Boorman GA, Eustis SL, Elwell MR, Montgomery CA, MacKenzie WF, eds). Academic Press, San Diego, 127-153.
Abstract: http://www.ncbi.nlm.nih.gov/nlmcatalog/9002563Seely JC, Hard GC. 2008. Chronic progressive nephropathy (CPN) in the rat: Review of pathology and relationship to renal tumorigenesis. J Toxicol Pathol 21:199-205.
Full Text: https://www.jstage.jst.go.jp/article/tox/21/4/21_4_199/_pdf
Kidney - Nephropathy, Chronic progressive in a male F344/N rat from a subchronic study. The early cases of chronic progressive nephropathy (CPN) occur as focal to multifocal areas of tubule basophilia with or without hyaline (protein) casts.