Integumentary System

Mammary Gland - Fibrosis

    Narrative
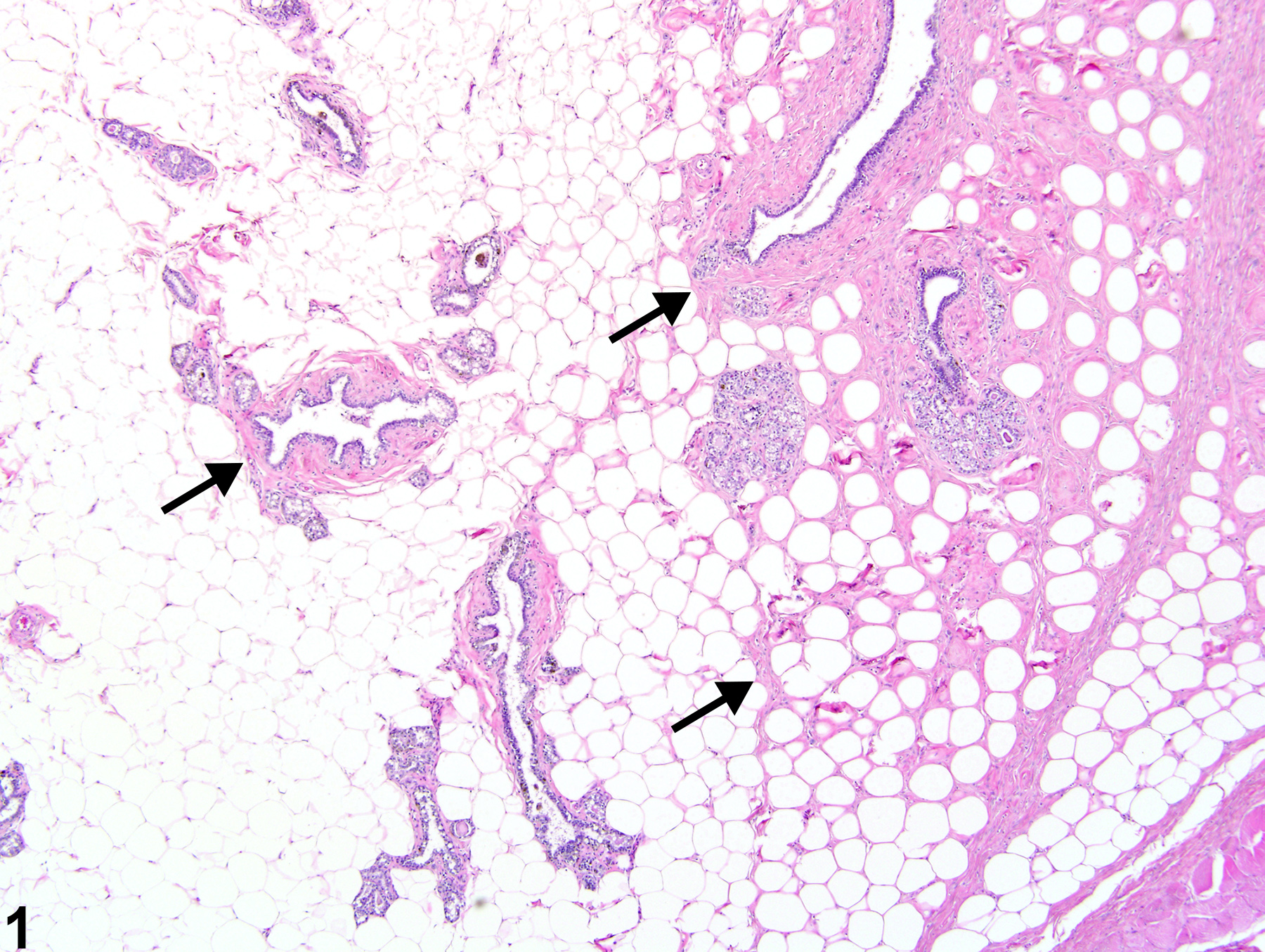
    Mammary gland - Fibrosis in a male F344/N rat from a chronic study. Mammary gland fibrosis is characterized by increased amounts of mature fibrous connective tissue both surrounding mammary gland ducts and extending into the adjacent mammary adipose tissue (arrows).
    Mammary gland - Fibrosis in a male F344/N rat from a chronic study. Mammary gland fibrosis is characterized by increased amounts of mature fibrous connective tissue both surrounding mammary gland ducts and extending into the adjacent mammary adipose tissue (arrows).
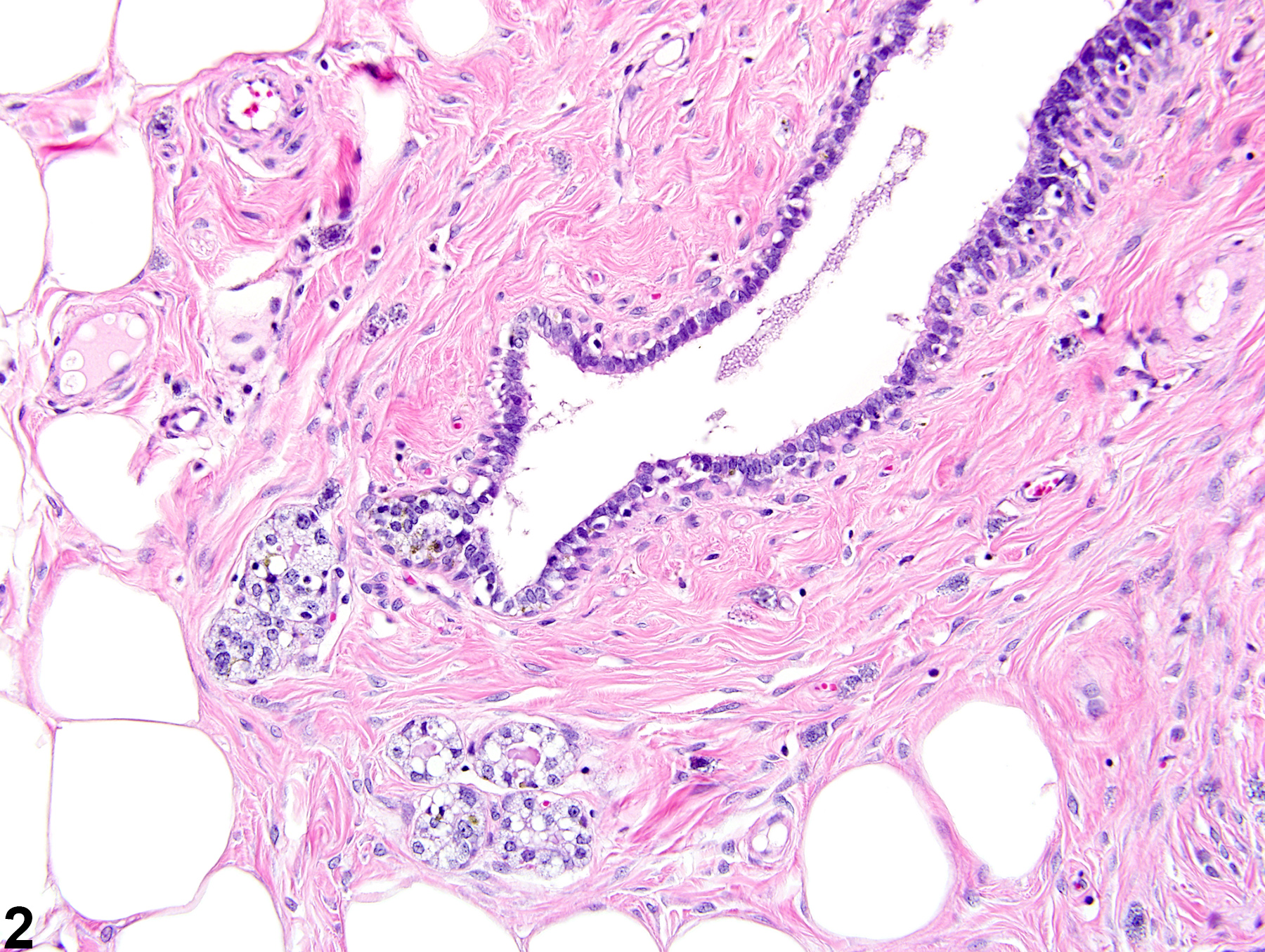
    Mammary gland - Fibrosis in a male F344/N rat from a chronic study (higher magnification of Figure 1). Mature fibrous connective tissue surrounds a mammary gland duct and alveoli and extends into the adjacent mammary adipose tissue.
    Mammary gland - Fibrosis in a male F344/N rat from a chronic study (higher magnification of Figure 1). Mature fibrous connective tissue surrounds a mammary gland duct and alveoli and extends into the adjacent mammary adipose tissue.
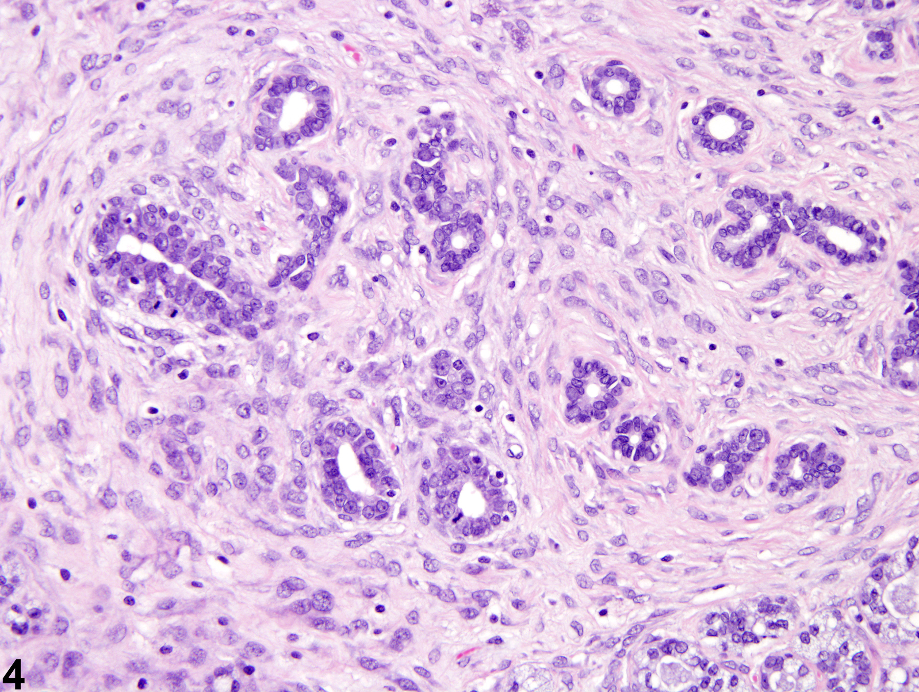
    Mammary gland - Fibrosis in a female F344/N rat from a chronic study. Diffuse sheets of mature fibrous connective tissue are a feature of concurrent lobular hyperplasia in the mammary gland.
    Mammary gland - Fibrosis in a female F344/N rat from a chronic study. Diffuse sheets of mature fibrous connective tissue are a feature of concurrent lobular hyperplasia in the mammary gland.
    Mammary gland - Fibrosis in a female F344/N rat from a chronic study (higher magnification of Figure 3). A diffuse sheet of mature fibrous connective tissue surrounds mammary gland ducts and alveoli.
    Mammary gland - Fibrosis in a female F344/N rat from a chronic study (higher magnification of Figure 3). A diffuse sheet of mature fibrous connective tissue surrounds mammary gland ducts and alveoli.

    Authors

    Margarita M. Gruebbel, DVM, PhD, DACVP
    Senior Pathologist
    Experimental Pathology Laboratories, Inc.
    Research Triangle Park, NC

    Priyanka Thakur, BVSc, MVSc, PhD, DACVP
    Pathologist
    Inotiv
    Research Triangle Park, NC

    Suzanne Fenton, MS, PhD
    Director of the Center for Human Health and Environment (CHHE)
    Professor Department of Biological Sciences
    North Carolina State University
    Raleigh, NC

    Gabrielle Willson, BVMS, Dip RC Path, FRC Path, MRCVS
    Senior Pathologist, Retired
    Experimental Pathology Laboratories, Inc.
    Research Triangle Park, NC

    Reviewers

    John Latendresse
    BSc, DVM, PhD, DACVP
    Senior Staff Pathologist and Chief Scientist
    Toxicological Pathology Associates, National Center for Toxicological Research
    Pine Bluff, Arkansas

    Mark Cesta, DVM, PhD, DACVP, FIATP
    Staff Scientist/Head, Pathology Evaluation and Peer Review Group
    Division of Translational Toxicology, National Institute of Environmental Health Sciences

    Research Triangle Park, NC