Integumentary System
Mammary Gland - Hyperplasia, Atypical
Narrative
Comment:
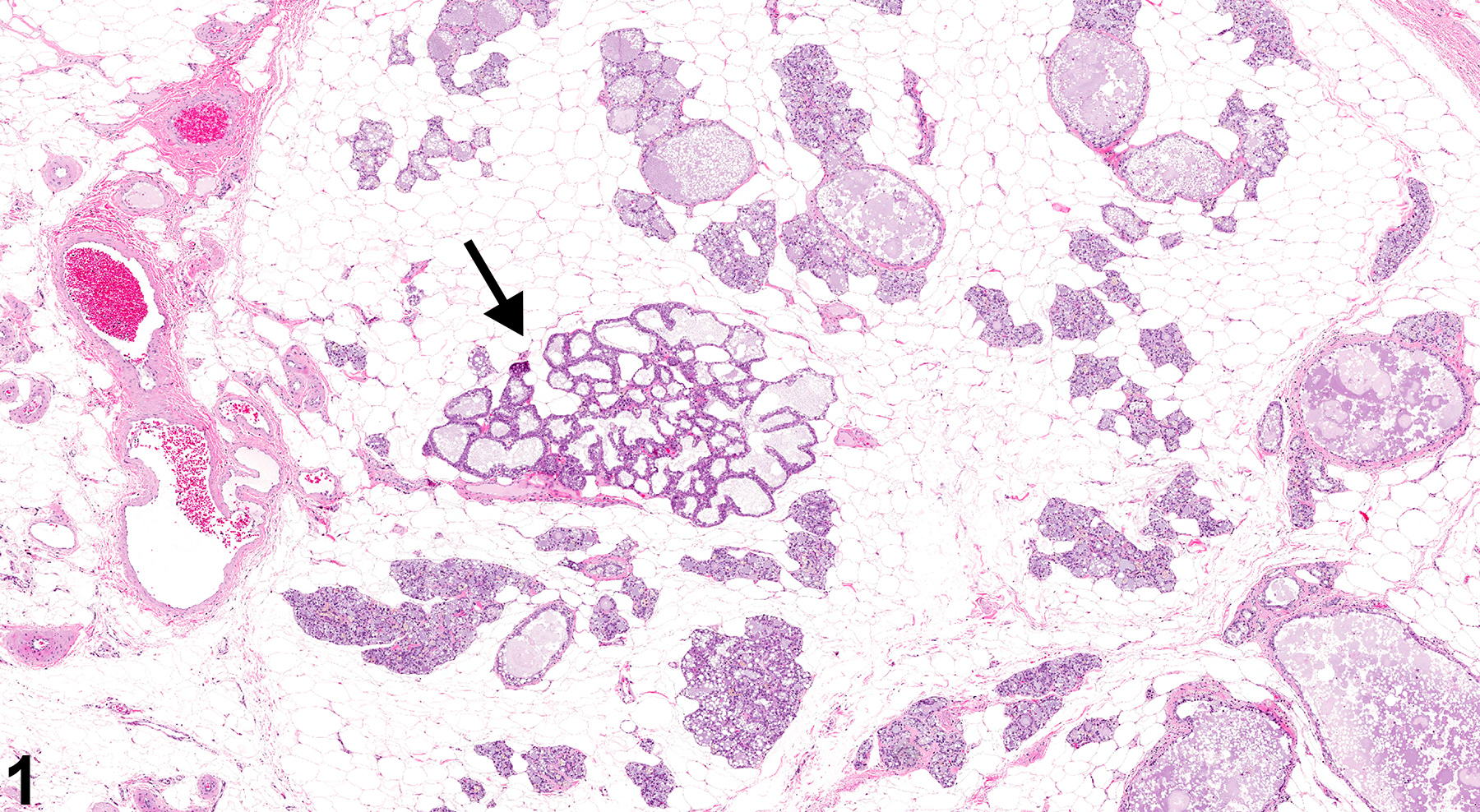
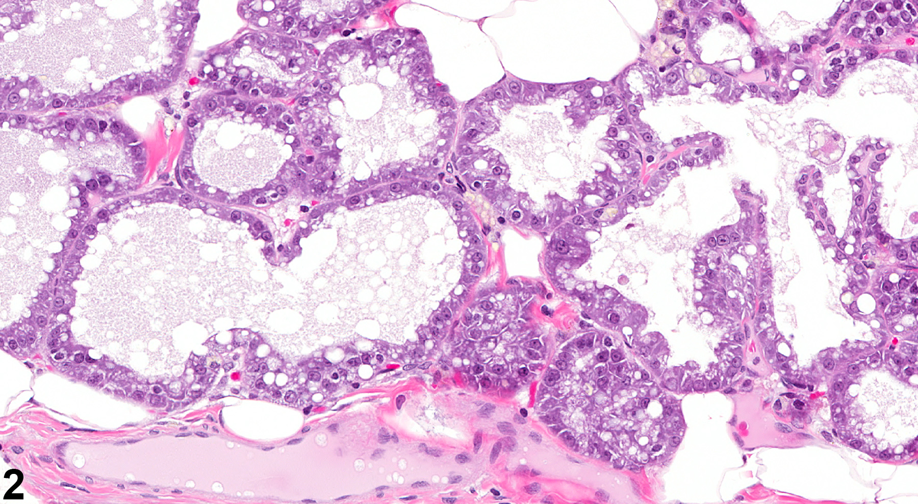
Atypical hyperplasia is sometimes observed (Figure 1 and Figure 2). This finding can occur in ducts, ductules, alveoli, or even within areas of lobular hyperplasia. It is characterized by lining cells arranged in multiple layers, infoldings, solid nests, or even papillary formations. The affected cells are pleomorphic and often enlarged, with features such as large hyperchromatic nuclei, increased numbers of mitotic figures, and increased cytoplasmic eosinophilia or basophilia. The cells with increased cytoplasmic eosinophilia often contain vacuoles that are suggestive of secretory cells, while the cells with the more basophilic cytoplasm most often do not have vacuoles and are suggestive of ductular epithelium. The alveoli may be normal in shape, or they may be irregular and enlarged. In contrast, proliferating cells of non-atypical hyperplasia lack the cellular atypia, architectural distortion, and other cytological abnormalities seen in atypical hyperplasia. Studies of chemically induced mammary cancer suggest a possible link between atypical ductular hyperplasia and adenocarcinoma (Harvell, et al.).
Recommendations:
Atypical hyperplasia of the mammary gland should be diagnosed and assigned a severity grade whenever present. A site modifier should be included in the diagnosis to indicate the location of the lesion (e.g., ducts or alveoli).
References:
| Al-Dhaheri WS, Hassouma I, Al-Salam S, Karam SM. 2008. Characterization of breast cancer progression in the rat. Ann N Y Acad Sci 1138:121-131. |
| Barsoum NJ, Gough AW, Sturgess JM, de la Iglesia FA. 1984. Morphologic features and incidence of spontaneous hyperplastic and neoplastic mammary gland lesions in Wistar rats. Toxicol Pathol 12(1):26-38. |
| Boorman GA, Wilson JT, Van Zwieten M, Eustis SL. 1990. Mammary gland. In: Boorman GA, Eustis SL, Elwell MR, Montgomery CA, Mackenzie WF (eds.). 2016. Pathology of the Fischer rat - reference and atlas. Academic Press pp. 295-313. |
| Burek JD. 1978. Pathology of aging rats. CRC Press pp. 163-167. |
| Goodman DG, Ward JM, Squire RA, Chu KC, Linhart MS. 1979. Neoplastic and nonneoplastic lesions in aging F344 rats. Toxicol Appl Pharmacol 48(2):237-248. |
| Greaves P. 2007. Mammary gland. Histopathology of preclinical toxicity studies. Interpretation and relevance in drug safety evaluation, 3rd ed. Academic Press pp. 68-98. |
| Harvell DME, Strecker TE, Tochacek M, Xie B, Pennington KL, McComb RD, Roy SK, Shull JD. 2000. Rat strain-specific actions of 17β-estradiol in the mammary gland: correlation between estrogen-induced lobuloalveolar hyperplasia and susceptibility to estrogen-induced mammary cancers. Proc Natl Acad Sci U S A 97(6):2779-2784. |
| Latendresse JR, Bucci TJ, Olson G, Mellick P, Weis CC, Thorn B, Newbold RR, Delclos KB. 2009. Genistein and ethinyl estradiol dietary exposure in multigenerational and chronic studies induce similar proliferative lesions in mammary gland of male Sprague-Dawley rats. Reprod Toxicol 28(3):342-53. |
| Masso-Welch PA, Darcy KM, Stangle-Castor NC, Ip MM. 2000. A developmental atlas of rat mammary gland histology. J Mammary Gland Biol Neoplasia 5(2):165-85. |
| McMartin DN, Sahota PS, Gunson DE, Hsu HH, Spaet RH. 1992. Neoplasms and related proliferative lesions in control Sprague-Dawley rats from carcinogenicity studies. Historical data and diagnostic considerations. Toxicol Pathol 20(2):212-25. |
| National Toxicology Program Abstract for TR-485. 1999. Toxicology and carcinogenesis studies of oxymetholone (CAS No. 434 -07 -1) in F344/N rats and toxicology studies of oxymetholone in B6C3F1 mice (Gavage Studies). |
| Rehm S, Liebalt AG. Nonneoplastic and neoplastic lesions of the mammary gland. In: Mohr U, Dungworth DL, Ward J, Capen CC, Carlton WW, Sundberg JP (eds.). 1996. Pathobiology of the aging mouse, Vol. 2. International Life Sciences Institute Press pp. 381-398. |
| Schedin P, Mitrenga T, Kaeck M. 2000. Estrous cycle regulation of mammary epithelial cell proliferation, differentiation, and death in the Sprague-Dawley rat: a model for investigating the role of estrous cycling in mammary carcinogenesis. J Mammary Gland Biol Neoplasia 5(2):211-25. |
| Seely JC, Boorman GA. Mammary gland and specialized sebaceous glands. In: Maronpot RR, Boorman GA, Gaul BW (eds.). 1999. Pathology of the mouse: reference and atlas. Cache River Press pp. 613-635. |
Van Zwieten MJ, HogenEsch H, Majka JA, Boorman GA. Nonneoplastic and neoplastic lesions of the mammary gland. In: Mohr U, Dungworth DL, Capen CC (eds.). 1994. Pathobiology of the aging rat, Vol. 2. International Life Sciences Press pp. 459-474.
| Harvell DME, Strecker TE, Tochacek M, Xie B, Pennington KL, McComb RD, Roy SK, Shull JD. 2000. Rat strain-specific actions of 17β-estradiol in the mammary gland: correlation between estrogen-induced lobuloalveolar hyperplasia and susceptibility to estrogen-induced mammary cancers. Proc Natl Acad Sci U S A 97(6):2779-2784. |
Mammary gland, Alveolus - Atypical Hyperplasia, in a female F344/N rat from a chronic study. There is a focal area of Atypical Hyperplasia (arrow) in the mammary gland.