Integumentary System
Mammary Gland, Fat - Atrophy
Narrative
Comment:
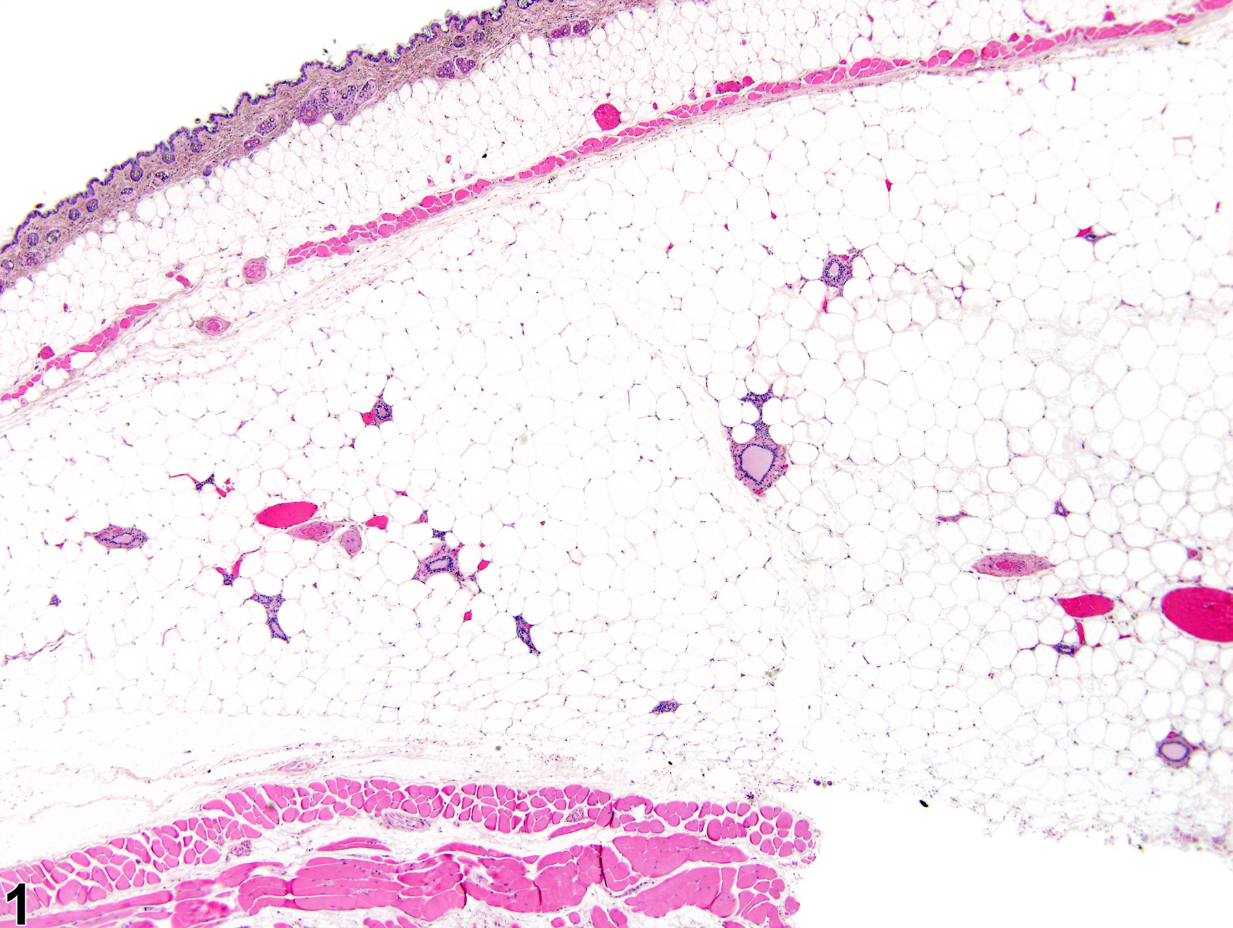
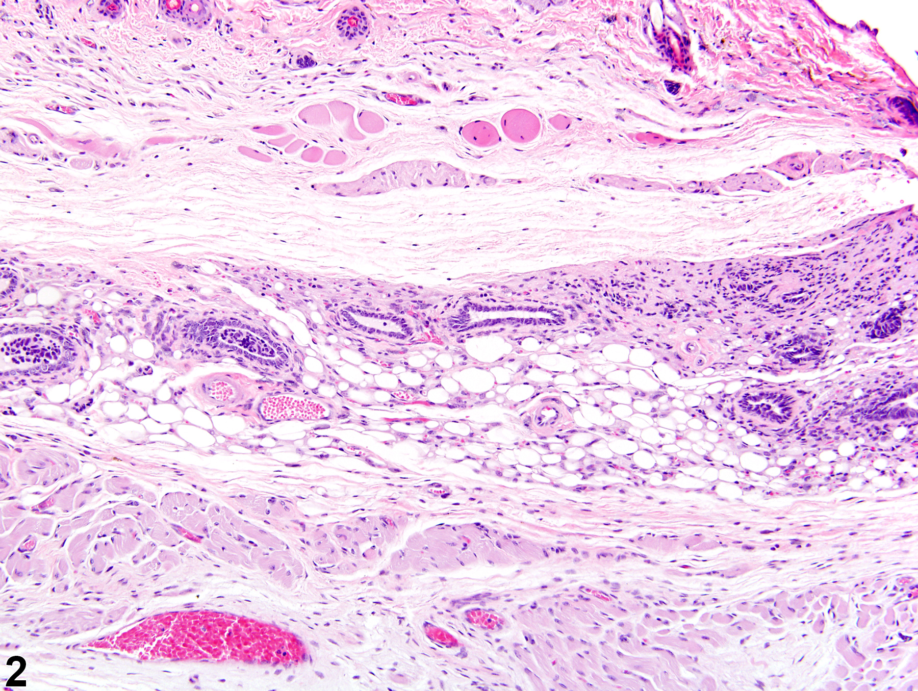
Diffuse atrophy of the normally abundant mammary gland adipose tissue (fat pad) often occurs in rats and mice suffering from weight loss or cachexia due to various causes, such as systemic disease, malignant neoplasia, or inability to feed due to malocclusion. As such, mammary gland fat atrophy is a common ancillary finding in animals that die or become moribund due to miscellaneous causes. Compared to a normal mammary gland (Figure 1), mammary gland fat pad atrophy (Figure 2) is characterized by generalized depletion and decreased size of the fat pad adipocytes, with concurrent condensation of the normal fibrous stroma, decreased numbers of tubule-alveolar profiles, and thinning of the lining epithelium. This results in less separation between alveoli and ducts, giving the impression of an overall more cellular gland, which should not be mistaken for hyperplasia or proliferation.
Recommendations:
Mammary gland fat atrophy should be diagnosed and assigned a severity grade. The topographic modifier ”fat” should be included in the diagnosis to distinguish this lesion from other atrophic lesions of the mammary gland.
References:
| Greaves P. 2007. Mammary gland. Histopathology of preclinical toxicity studies. Interpretation and relevance in drug safety evaluation, 3rd ed. Academic Press pp. 68-98. |
| Hovey RC, McFadden TB, Akers RM. 1999. Regulation of mammary gland growth and morphogenesis by the mammary fat pad: a species comparison. J Mammary Gland Biol Neoplasia 4(1):53-68. |
| Richert MM, Schwertfeger KL, Ryder JW, Anderson SM. 2000. An atlas of mouse mammary gland development. J Mammary Gland Biol Neoplasia 5(2):227-41. |
| Tou JC, Thompson LU. 1999. Exposure to flaxseed or its lignan component during different developmental stages influences rat mammary gland structures. Carcinogenesis 20(9):1831-5. |
Mammary gland - Normal in a female B6C3F1/N mouse from a chronic study. Normal mammary gland with well-developed mammary fat (adipose) pad.